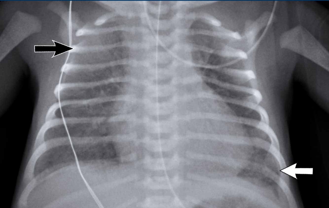
Zapalenie płuc na RTG klatki piersiowej objawia się zacienieniami, konsolidacjami i naciekami w miąższu płuc. Typowe są homogenne zmiany lobarne, przede wszystkim w dolnych płatach. Wczesne stadium może być subtelne lub niewidoczne. RTG umożliwia szybką diagnozę, ocenę rozległości i monitorowanie leczenia.
Zapalenie płuc na zdjęciu RTG objawia się przede wszystkim zacienieniami miąższu płucnego, które radiolog ocenia pod kątem rozległości i charakteru. W typowym obrazie bakteryjnego zapalenia płuc, takiego jak pneumokokowe, dominuje konsolidacja – homogeniczne zacienienie obejmujące cały płat płucny, np. dolny prawy (u 40-50% pacjentów wg badań z lat 2018-2022 w European Respiratory Journal). Nacieki zapalne tworzą „pianę” lub mleczne obszary, kontrastujące z przeziernością zdrowego miąższu. Wczesne stadia mogą przypominać mgłę (zacienienia szkliste, ground-glass opacities), szczególnie w wirusowych formach, jak COVID-19, gdzie wykrywalność sięga 60-80% na standardowym RTG klatki piersiowej. Radiolog szuka też poszerzenia naczyniowego lub linii Kerleya, wskazujących na obrzęk śródmiąższowy. Czy zawsze zapalenie płuc daje wyraźne zmiany na zdjęciu RTG? Nie – u 10-20% chorych obraz bywa subtelny, przede wszystkim w odmieńcach u dzieci lub starszych.
Jak odróżnić nacieki zapalenia płuc od innych patologii na RTG?
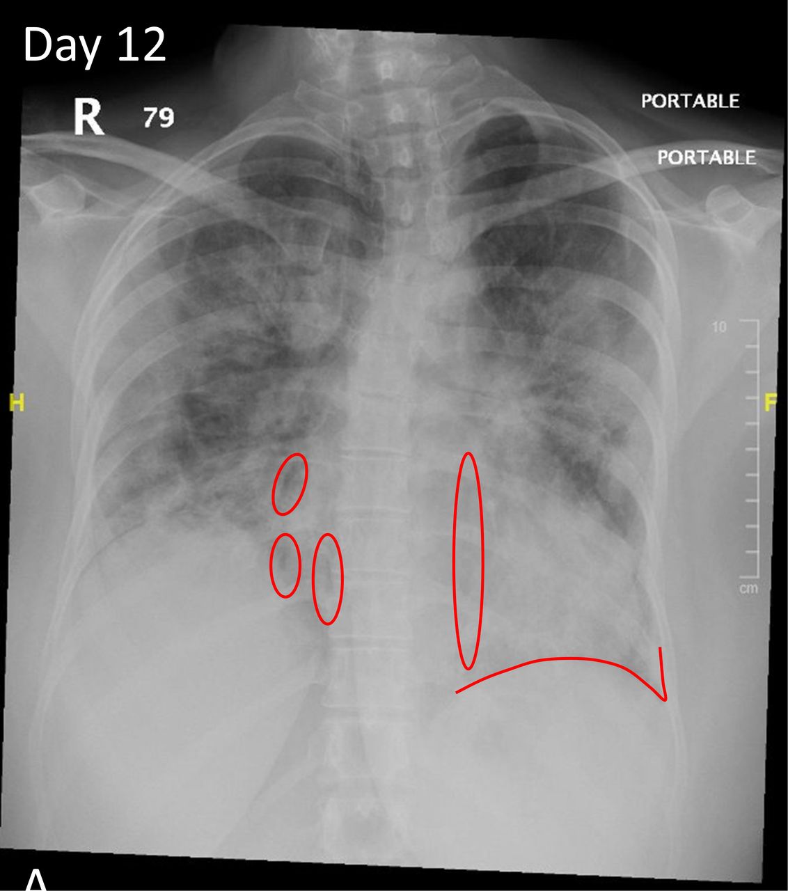
W zapaleniu płuc na zdjęciu RTG nacieki różnią się od raka czy obrzęku serca dynamiką – powtarzane zdjęcia po 24-48 godzinach pokazują ewolucję, np. zanik konsolidacji po antybiotyku w 70% przypadków bakteryjnych (dane z Polish Journal of Radiology, 2021). Interstycjalne zapalenie płuc cechują drobne, siateczkowate zacienienia rozlane obustronnie, w czasie gdy lobarne – ostre granice z granicą anatomiczną płata. Radiolog interpretuje „zagadki” jak znak sylwetki pnia oskrzelowego („drzewo oskrzelowe”) czy air bronchogram – powietrzne oskrzela w zacienionym tle, typowe dla konsolidacji. Effuzja opłucnowa towarzyszy w 30% przypadków, tworząc zacienienie w zatokie żebrowo-przeponowej.
Ważne różnice w typowych zmianach zapalenia płuc na zdjęciu rentgenowskim:
- Homogenna konsolidacja płata: klasyka pneumonii bakteryjnej, np. Streptococcus pneumoniae.
- Zacienienia szkliste (GGO): wirusowe etiologie, jak RSV lub SARS-CoV-2 (widoczne u 75% hospitalizowanych).
- Naciek z air bronchogramem: potwierdza zapalenie miąższowe.
- Drobne nacieki guzkowate: atypowe zapalenie, np. Mycoplasma pneumoniae.
- Rozlane zacienienia interstycjalne: wczesna faza lub grzybicze.
- Połączenie z effuzją: w 25-35% ciężkich przypadków, wymaga USG do różnicowania.
Cechy wymagające pilnej konsultacji radiologicznej: asymetria, kavernizacja lub szybki postęp zmian.

Jak rozpoznać zapalenie płuc na zdjęciu RTG u dziecka? Częściej multifokalne nacieki (do 50% przypadków wg wytycznych ESPID ), z mniejszą konsolidacją niż u dorosłych. W obrazie atypowym, np. chlamydialnym, dominują zmiany dolno-płucne z perihilar thickening. Radiolog stosuje skalę Radiographic Assessment of Lung Edema (RALE) do kwantyfikacji – punktacja powyżej 12 wskazuje ciężki przebieg. (Nawiasem mówiąc, w erze AI algorytmy jak CheXNet wykrywają je z 92% czułością). „Złoty standard” to nadal wizualna analiza przez specjalistę.

Częste pytania o zapalenie płuc na RTG
Co oznacza „bilateralne zacienienia” w diagnozie? Wskazuje na obustronne zapalenie, np. wirusowe, z ryzykiem ARDS w 15% przypadków.
Czy RTG wystarcza do diagnozy? Nie zawsze – wymaga korelacji klinicznej i czasem HRCT dla detali.
Jak długo zmiany utrzymują się na zdjęciu? 2-4 tygodnie po leczeniu, dłużej w grzybiczym.
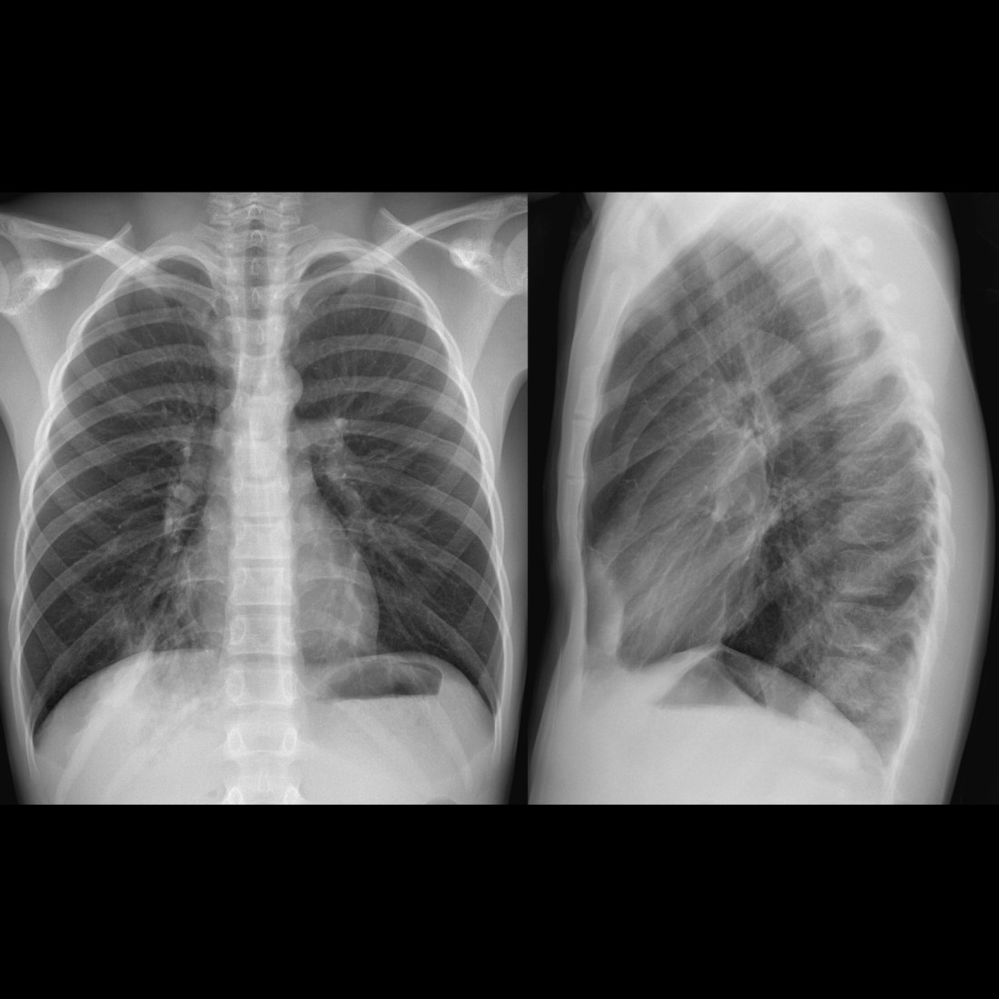
Zapalenie płuc na zdjęciu rentgenowskim ujawnia się przede wszystkim jako typowy obraz RTG przy zapaleniu płuc, z widocznymi zmianami w tkance płucnej. Obraz radiologiczny zależy od stadium choroby i patogenu, ale podstawowe są obszary zacienienia. Wczesne stadium może pokazywać jedynie nieostre zamglenie, w czasie gdy zaawansowane zapalenie objawia homogenne zagęszczenie.
Charakterystyczne infiltraty i konsolidacje w RTG płuc
Konsolidacja płucna, czyli konsolidacja płucna, stanowi podstawowy objaw i pojawia się jako jednorodne zacienienie zajmujące segment lub płat płuca. Na zdjęciu RTG widać wyraźne granice zmian, często z powietrznym bronchogramem – czarnymi oskrzelami na tle białego tła. W zapaleniu bakteryjnym, np. pneumokokowyminfiltraty są lobarne i zajmują dolne płaty w 70-80% przypadków. Zapalenie płuc na zdjęciu rentgenowskim może imitować atelektazę, ale obecność gorączki i leukocytozy pomaga w różnicowaniu.
Zmiany pęcherzykowe i śródmiąższowe

Wirusowe zapalenia płuc pokazują obraz drzewa w pączku, z centralnym zagęszczeniem i otaczającymi go pasmami nacieków. Drobne guzki pęcherzykowe tworzą mozaikowy wzór, szczególnie w zapaleniu wywołanym Mycoplasma. Śródmiąższowe zapalenie objawia się liniami Kerleya lub siateczkowatym zagęszczeniem, bez dużych konsolidacji.
Rzadziej spotykane warianty radiologiczne
Abscessy płucne widoczne są jako jamy z poziomem płynu, otoczone naciekami. W odrze lub ospie wietrznej RTG ujawnia rozlane zmiany międzypłatowe. Zawsze porównuj z poprzednimi zdjęciami, bo ewolucja obrazu decyduje o terapii.

Lekarz zleca RTG płuc przy podejrzeniu zapalenia, gdy pacjent zgłasza uporczywy kaszel, gorączkę powyżej 38,5°C i duszność. Badanie to, znane też jako zdjęcie rentgenowskie klatki piersiowej, pozwala szybko ocenić zmiany w miąższu płucnym. Wczesna diagnostyka jest bardzo ważna, bo zapalenie płuc odpowiada za około 5-11 przypadków na 1000 dorosłych rocznie w Polsce, według informacji Narodowego Instytutu Zdrowia Publicznego.
Wskazania kliniczne do RTG w podejrzeniu zapalenia płuc

Decyzja o zleceniu RTG płuc przy podejrzeniu zapalenia opiera się na wytycznych Polskiego Towarzystwa Chorób Płuc z 2022 roku. Lekarz bierze pod uwagę nie wyłącznie objawy, ale i czynniki ryzyka, takie jak wiek powyżej 65 lat czy choroby współistniejące. Na przykład u palaczy lub osób z POChP badanie potwierdza diagnozę w ponad 85% przypadków.
Objawy prowokujące zlecenie badania
- Gorączka utrzymująca się ponad 3 dni z produktywnym wykrztusiem.
- Duszność spoczynkowa lub wysiłkowa u osób bez wcześniejszych schorzeń.
- Ból w klatce piersiowej nasilający się przy oddychaniu głębokim.
- Tachypnoe powyżej 25 oddechów na minutę u dorosłych.
- Zmniejszone szmery oddechowe w auskultacji.

RTG uwidacznia nacieki zapalne, takie jak homogenne zacienienia lub drzewo oskrzelowe, co odróżnia zapalenie od innych schorzeń jak obrzęk serca. W diagnostyce zapalenia płuc RTG jest złotym standardem, szczególnie w pozaszpitalowym zapaleniu płuc. Badanie trwa zaledwie parę minut i dawka promieniowania jest niska, poniżej 0,1 mSv.
Jak odróżnić bakteryjne od wirusowego zapalenia płuc na RTG?
Bakteryjne zmiany są najczęściej jednostronne i ostre, z wyraźnym air bronchogramem – widocznymi oskrzelami wypełnionymi powietrzem na tle zacienionego miąższu. Wirusowe zapalenie płuc, np. wywołane grypą lub RSV, prezentuje się inaczej: dominują międzypłatowe nacieki o charakterze międzywrzodowym, rozproszone obustronnie. Te ziarniste lub siateczkowate zmiany zajmują oba płuca w 60-90% przypadków, bez homogennej konsolidacji.

Wirusowe postacie zapalenia płuc na zdjęciach rentgenowskich klatki piersiowej często przypominają obrzęk płucny, z perihilarnymi smugami i zagęszczeniami w dolnych polach. Bakteryjne zapalenie płuc wykazuje z kolei szybką ewolucję – konsolidacja może ustąpić po 48-72 godzinach antybiotykoterapii, co potwierdza RTG kontrolne. Frazy takie jak charakterystyczne cechy bakteryjnego zapalenia płuc w rentgenie pomagają radiologom w szybkim różnicowaniu.
Obraz radiologiczny wirusowego zapalenia płuc bywa subtelny, z hiperaeracją płuc i brakiem płynu w jamie opłucnowej, co odróżnia je od bakteryjnych ropni. W badaniach z lat 2010-2020, np. te publikowane w Radiology, aż 75% wirusowych przypadków wymagało potwierdzenia tomografią komputerową z powodu niejednoznaczności RTG. Te różnice między bakteryjnym a wirusowym zapaleniem płuc w obrazie rentgenowskim wpływają na dobór terapii.





