Dopamina, nagroda, powtórzenie – jak pętla uzależnienia przejmuje kontrolę nad Twoim...
Uzależnienie od dopaminy to kompulsywne poszukiwanie bodźców uwalniających neuroprzekaźnik nagrody, np. social media, gry wideo czy słodycze. Powoduje tolerancję – potrzeba coraz silniejszych stymulacji....
Kamery termowizyjne w medycynie: jak podczerwień ujawnia stany zapalne, zaburzenia krążenia...
Kamery termowizyjne w medycynie umożliwiają nieinwazyjne obrazowanie rozkładu temperatury ciała. Wykrywają stany zapalneinfekcje, nowotwory np. raka piersi poprzez termografię. Monitorują krążenie krwi, diagnostykują ból...
Technika Pomodoro dla ADHD: dlaczego 25 minut skupienia zmienia zasady gry...
Technika Pomodoro to metoda pracy dla osób z ADHD, polegająca na 25 minutach intensywnego skupienia (jedno pomodoro) i 5-minutowej przerwie. Dzieląc zadania na krótkie...
Drukowane wzorce do odlewów i prasowania ceramiki – precyzyjniejsza alternatywa dla...
Technika traconego wosku stanowi fundament odlewnictwa protetycznego od dziesięcioleci. Ręczne modelowanie woskowych wzorców wymaga jednak znacznych umiejętności manualnych, a każda praca powstaje jako unikat...
Sztuczna krew: jak syntetyczne substytuty naśladują funkcje prawdziwych krwinek i kiedy...
Sztuczna krew rozwija się dynamicznie. Naukowcy pracują nad nośnikami tlenu opartymi na syntetycznej hemoglobinie (HBOC) i perfluorowęglowodorach (PFC). W r. chiński zespół przetestował preparat...
Dłonie drętwieją, nadgarstki bolą, a ty wciąż ignorujesz pierwsze sygnały cieśni...
Profilaktyka zespołu cieśni nadgarstka polega na omijaniu powtarzalnych ruchów nadgarstka, cyklicznych przerwach w pracy przy komputerze oraz stosowaniu ergonomicznych klawiatur i myszy. Wykonuj ćwiczenia...
Druk 3D w stomatologii: jak cyfrowe modele zmieniają diagnostykę, planowanie zabiegów...
Druk 3D w stomatologii rewolucjonizuje produkcję protez, koron, mostów, szyn wyrównujących i chirurgicznych szablonów. Wykorzystuje technologie SLA, DLP oraz FDM z biokompatybilnymi żywicami i...
Terapia światłem w depresji sezonowej i nawracającej – jak codzienna dawka...
Terapia światłem to nieinwazyjna metoda leczenia depresji, przede wszystkim sezonowej (SAD). Polega na codziennej ekspozycji na jasne światło o natężeniu 10 000 luksów przez...
Chmura obliczeniowa w służbie zdrowia: jak cyfrowa infrastruktura przyspiesza diagnostykę, obniża...
Chmura obliczeniowa rewolucjonizuje opiekę zdrowotną, umożliwiając przechowywanie i analizę big data medycznych, np. genomy czy obrazy RTG. Ułatwia telemedycynę, AI w diagnostyce i EHR....
Buty do biegania zimą – jak wybrać model z odpowiednią przyczepnością...
Buty do biegania zimą muszą mieć wodoodporną membranę Gore-Tex dla suchości stóp. Agresywne bieżniki i kolce umożliwiają przyczepność na śniegu i lodzie. Wyższa cholewka...
Kawa a lęk: jak kofeina pobudza układ nerwowy i dlaczego u...
Kawa, dzięki kofeinie, może zwiększać lęki u osób wrażliwych, stymulując układ nerwowy i zwiększając poziom adrenaliny oraz kortyzolu. Objawy to niepokój, drżenie rąk i...
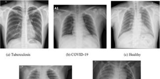
Jak wygląda zapalenie płuc na zdjęciu RTG? Zacienienia, nacieki i zagadki,...
Zapalenie płuc na RTG klatki piersiowej objawia się zacienieniami, konsolidacjami i naciekami w miąższu płuc. Typowe są homogenne zmiany lobarne, przede wszystkim w dolnych...


















